Увеличение силы и гипертрофия четырехглавой мышцы
Рассмотрено увеличение силы и гипертрофия четырехглавой мышцы бедра под влиянием различных режимов тренировки: изометрического, концентрического и эксцентрического. В изометрическом режиме тренировка в течение 12 недель привела к существенному увеличению силы (35%), гипертрофия мышцы была небольшая. При тренировке в динамическом режиме (концентрический и эксцентрический) изометрическая сила также возросла. Площадь поперечного сечения мышц увеличилась на 5%.

Jones, D.A. Human muscle strength training: the effects of tree different regimes and the nature of the resultant changes / D.A.Jones, O.M. Rutherford // J. Physiol. ,1987.- V.391.– P. 1-11.
Д.А.ДЖОНС, О.М.РУТЗЕРФОРД
СИЛОВАЯ ТРЕНИРОВКА МЫШЦ ЧЕЛОВЕКА: ЭФФЕКТ РАЗЛИЧНЫХ РЕЖИМОВ МЫШЕЧНОГО СОКРАЩЕНИЯ
ABSTRACT
1. Увеличение силы и размера четырехглавой мышцы бедра (m. quadriceps femoris) сравнивались в течение 12 недель в изометрическом или динамическом режиме тренировки.
2. В изометрическом режиме тренировка одной ноги привела к существенному увеличению силы (35 ±19 %, Mean±S.D., n = 6) без изменений в контралатеральной нетренированной ноге.
3. Площадь поперечного сечения четырехглавой мышцы бедра (m. quadriceps femoris) была измерена компьютерным томографом, контролировалась до и после тренировки. Увеличение площади (5 ± 4,6%, Mean±S.D. n = 6) было небольшим, и не коррелировало с увеличением силы.
4. Для проверки гипотезы о том, что стимулом для увеличения силы является высокая сила мышц, были рассмотрены два режима тренировки, первый, в котором во время упражнения мышца укорачивается (концентрический) и второй, в котором мышца растягивается (эксцентрический). Сила, проявляемая в процессе тренировки были в эксцентрическом режиме на 45% выше, чем в концентрическом режиме.
5. При тренировке в двух режимах были выявлены аналогичные изменения в силе мышц и их площади поперечного сечения. Эксцентрические физические упражнения способствовали увеличению изометрической силы на 11±3,6% (Mean±S.D.,n= 6), а концентрические – на 15 ± 8,0% (Mean±S.D., n= 6). В обоих случаях было примерно 5%-ное увеличение площади поперечного сечения мышц.
6. Сделан вывод о том, что в первые 12 недель силового тренинга, основные изменения проявляются в увеличении силы на единицу площади поперечного сечения мышцы. Стимулы, приводящие к этому увеличению неизвестны, но сравнение результатов эксцентрических и концентрических упражнений, дало возможность предложить, что вряд ли это исключительно механический стресс или метаболические процессы, протекающие в мышце.
ВВЕДЕНИЕ
Повышение силы и гипертрофия мышц – хорошо известные последствия функциональной перегрузки (Goldberg, Etlinger, Goldspink, Jablecki, 1975; McDonagh, Davies, 1984) и, тем не менее, остается ряд фундаментальных областей, в которых много неизвестного. Однако неясно, какие причины вызывают эти следствия: механический стресс или метаболические процессы. Основным фактором, определяющим силу скелетных мышц является их площадь поперечного сечения. Были продемонстрированы, линейная связь между размером и силой четырехглавой мышцы бедра человека (Young, Stokes, Round, Edwards, 1983; Chapman, Edwards, Grindrod, Jones, 1984). Тем не менее, всегда существуют значительные различия среди испытуемых, которые связаны с рядом факторов: различия в костных рычагах, через которые действует мышца, углами перистости и композиции мышечных волокон (Alexander, Vernon, 1975; McCullough, Maughan, Watson, Weir, 1984; Young, 1984). Существует несколько исследований изменений силы мышц и их размеров в зависимости от тренировки. Точная оценка площади поперечного сечения и силы не сопоставлялась с эффектом тренировки. В нескольких исследованиях был получен удивительный вывод о том, что увеличение мышечной силы было больше, чем можно объяснить увеличением размеров мышц (Ikai, Fukanaga, 1970; Young 1983).
Ключевой стимул увеличения силы до сих пор неизвестен, хотя в основном авторы считают, что фаворитом является механический стресс (Goldberg et al., 1975). Еще одним существенным фактором при таком виде сокращения мышцы будет увеличение метаболических процессов (в основном гликолитических) и выделения продуктов, которые могут также выступать в качестве стимула адаптации к работе с высокими нагрузками. При эксцентрическом режиме сокращения, генерация силы в мышцах происходит при относительно низкой метаболической стоимости по сравнению с изометрическим или концентрическим режимами (Katz, 1939; Abbott, Bigland, Ritchie, 1952; Curtin, Davies, 1973). Сравнение изменений в мышцах, обусловленных эксцентрическими и концентрическими сокращениями должно различать два возможных раздражителя, т.е. механического стресса и нарушения обмена веществ. Существует ряд исследований посвященных сравнительному анализу влияния этих двух типов упражнений (см. обзор Rasch, 1974), но только в одном применяются эксцентрические сокращения, чтобы вызвать большее увеличение силы (Komi, Buskirk, 1972). Особенностью многих из этих исследований, было использование одного и того же абсолютного веса для концентрических и эксцентрических упражнений (Logan, 1952; Seliger, Dolejas, Karas, Pachlopnikova, 1968; Johnson, 1972). В этих условиях разница между двумя режимами физических упражнений будет заключаться в метаболических затратах. Предполагается, что метаболическая стоимость не является ключевым стимулом. Дополнительный эксперимент мог бы быть проведен с использованием больших отягощений при тренировке с использованием эксцентрических упражнениях. Механический стресс должен быть или таким же или большим чем метаболическая стоимость работы.
В настоящем исследовании изучалось влияние различных тренировочных режимов с отягощениями на силу мышц, их размер мышц, активацию мышц и радиационную плотность. Мы также провели сравнение результатов в эксцентрических и концентрических упражнениях, используя значительно большие нагрузки при выполнении эксцентрических упражнений, с целью определения стоимости механических напряжений в качестве стимула для увеличения силы.
МЕТОДЫ
Испытуемые. Двенадцать здоровых взрослых испытуемых (11 мужчин, 1 женщина) приняли участие в данном исследовании. Никто ранее не принимал участие в силовой тренировке. Шесть человек осуществляли выполнение изометрического напряжения одной ногой, а другая нога была контрольной. Шесть других человек осуществляли упражнения одной ногой в концентрическом режиме, а другой в эксцентрическом. Все испытуемые заявили о своем согласии принять участие в исследовании, и исследование было одобрено Комитетом по этике больницы Университетского колледжа. Физические показатели приведены в таблице 1.
Таблица 1. Физические показатели испытуемых
| Тип тренировки | Возраст, Mean±S.D.лет | Рост, Mean±S.D., см | Вес, Mean±S.D., кг |
|---|---|---|---|
| Концентрическая и эксцентрическая | 27,5±6,3 | 172,1±11,1 | 69,0±4,0 |
| Изометрическая | 27,5±5,7 | 171,5±6,4 | 64,5±7,3 |
Тренировка. Исследование включает в себя изучение трех режимов сокращения четырехглавой мышцы бедра Тренировки проводились три раза в неделю в течение 12 недель. Каждый сет состоял из 4 подходов, 6 повторений с 1 мин отдыха в каждом сете.
Изометрическая тренировка. Шесть человек тренировались с односторонними изометрическими сокращениями в кресле для тестирования, как будет описано ниже. Контралатеральная нога не тренировалась и использовалась в качестве контроля. Тренировка была рандомизирована между доминантной и недоминантной ногой. В начале каждой недели тестировалась максимальная изометрическая сила четырехглавой мышцы бедра, был протестирован и визуально определен показатель, установленный на 80% от 1RM. Каждое сокращение длилось 4 секунды, 2 секунды отдыха. Один из испытуемых тренировался лишь 8 недель.
Концентрическая и эксцентрическая тренировка. Шесть человек (5 мужчин, 1 женщина) тренировали одну ногу в концентрическом, а другую ногу – в эксцентрическом режиме. Тренировка проводилась на силовом тренажере Атланта, нога в коленном суставе разгибалась от 45 до 180 градусов. Испытуемые должны были шесть раз поднять или опустить вес, который составляя 80% от 1RM. Вес, который опускался, составлял приблизительно 145% от веса, который поднимался. В каждом подходе выполнялись 6 повторений в течение 30 с, каждая фаза длилась 2-3 с, период отдыха был аналогичным. Эксцентрический и концентрический режим использовался в равном соотношении между доминантной и не доминантной ногами.
Измерение силы. Уровень максимальной изометрической силы (MVC) четырехглавой мышцы бедра, оценивали, как описано у Edwards, Young, Hosking, Jones (1977). Три лучших результата максимальной изометрической силы измерялись до эксперимента и каждые 2 недели во время и в конце эксперимента. Стимуляция мышцы была предпринята для того, чтобы оценить, насколько испытуемый использует активацию мышцы при развитии максимальной произвольной силы. Четырехглавая мышца стимулировалась током, имеющим частоту 1 Гц, напряжение было достаточным, чтобы активировать более 50% мышцы. На основе уровня развития силы, вызванное мышечное сокращение сопоставлялось с произвольным. Сравнение производилось до и во время сокращения. Во время максимального сокращения стимуляция не прибавляла дополнительной силы. Однако при субмаксимальных усилиях дополнительная стимуляция может быть использована для оценки степени торможения. (Rutherford, Jones, Newham, 1986). Для испытуемого W.K. (рис. 2) было показано, что произвольное сокращение на 20% меньше максимально возможного.
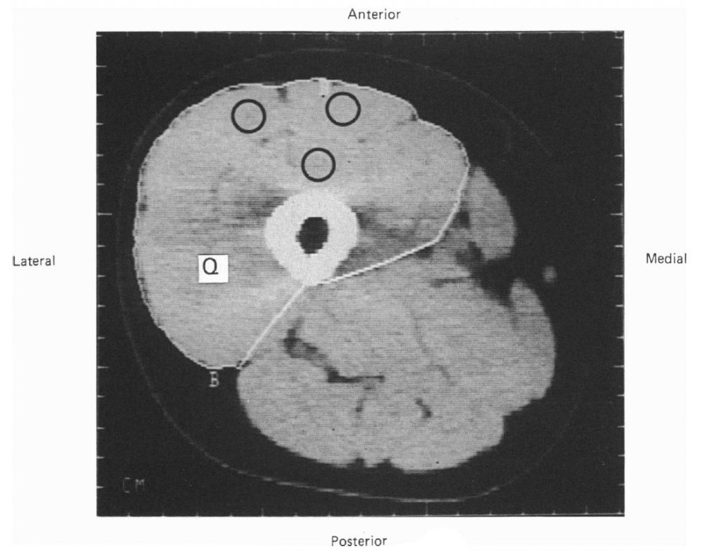
Измерение объема четырехглавой м. бедра. Площадь поперечного сечения четырехглавой была измерена посредством компьютерной томографии (c.t.). Измерения проводились до и после 12 недель тренировки. Все просмотры были выполнены на Philips Tomoscan 310 со временем просмотра 4-8 с и толщиной среза в 9 мм. Чтобы удостовериться, что повторные сканирования проводятся на том же самом месте, на пластиковом листе была изготовлена карта, показывающая на компьютерном томографе область сканирования, связанную с выступами на бедре. Маркеры размещались на ноге, высота от пола до участка просмотра измерялась антропомером Holstan.
Компьютерные изображения были проанализированы посредством разработанной интерактивной системы (Grindrod, Tofts, Edwards, 1983). Оценивалась площадь поперечного сечения четырехглавой мышцы бедра и среднее число Хаунсфилда (единица радиологической плотности; Bulcke, Termote, Palmers, Crolla, 1979). Область четырехглавой мышцы была измерена полуавтоматически посредством специальной программы и последующим ручным редактированием (рис. 1). Оценка плотности мышцы выполнялась посредством измерения числа Хаунсфилда в трех дискретных участках в четырехглавой мышцы. Коэффициент вариации среднего числа Хаунсфилда при семи повторных измерениях на двух предметах был менее 5%.
Электромиография. Измерения интегрированной ЭМГ выполнялось для каждого режима сокращения. Поверхность кожи была специально подготовлена. Кожа предварительно обрабатывалась и протиралась спиртом. Регистрировалась ЭМГ с широкой латеральной мышцы поверхностными электродами. Сигнал усиливался и интегрировался с частотой 10 Гц. Потенциометрический гониометр был присоединен к ноге с центром вращения в колене. Сигнал выводился вместе с ЭМГ-сигналом, чтобы во время различных фаз движения могла быть оценена степень активации мышцы.

РЕЗУЛЬТАТЫ
Изометрическая тренировка
Испытуемые не испытывали проблем, выполняя тренировочную программу. Два испытуемых испытывали заметную боль и скованность в первую неделю, но это исчезло в течение второй недели. Только один исследуемый не мог полностью активировать четырехглавую мышцу перед началом эксперимента. Записи произвольных сокращений этого исследуемого показаны на рис. 2 и сопоставлены с другим исследуемым, который мог достичь полной активации мышцы. В конце программы обучения все испытуемые были в состоянии полностью активировать свои мышцы. Там, где были сомнения в неполной активации, проводилась дополнительная стимуляция для достижения максимального сокращения. Компьютерное сканирование проводилось до и после эксперимента. Сканирование мужского бедра показано на рис. 1 с указанием области четырехглавой мышцы и областей, выбранных для измерения плотности. Абсолютные значения силы, площади поперечного сечения и плотности четырехглавой мышцы приведены в таблице 2.

Таблица 2. Результаты исследования максимальной силы четырехглавой мышцы бедра, площади поперечного сечения и радиационной плотности до и после тренировки (Mean±S.D)
| Максимальная сила, Н | Площадь поперечного сечения, см2 | ЧислоХаунсфилда | ||||
|---|---|---|---|---|---|---|
| Исследование | До | После | До | После | До | После |
| Концентрический | 521±122 | 601±146 | 66,3±8,9 | 70,1±9,6 | 61,6±5,0 | 63,8±3,7 |
| Эксцентрический | 516±122 | 572±144 | 68,7±12,4 | 71,1±11,9 | 60,1±5,1 | 63,3±5,0 |
| Изометрический | 591±112 | 793±159 | 76,9±15,5 | 80,6±14,2 | 62,6±5,8 | 66,3±6,0 |
| Контроль | 619± 87 | 662±138 | 73,8±10,7 | 74,3±12,0 | 65,0±3,1 | 66,0±2,8 |
На рис.3 представлен процент изменения изометрической силы, площади поперечного сечения и числа Хаунсфилда до и после тренировки. Существовал большой и значительный рост в изометрической силе после изометрической нагрузки, от 18 до 65% (35±19%, Mean±S.D.Р<0,01, парные сравнения). До начала эксперимента не было существенных различий в результатах экспериментальной и контрольной ноги. После 12 недель сила контрольной ноги увеличилась на 6 ± 8% (Mean±S.D.P> 0,2, парные сравнения). У исследуемых наблюдалось небольшое, но достоверное увеличение площади поперечного сечения четырехглавой мышцы (табл. 2, размах варьирования 0-11%, 5 ±4,6%, (Mean±S.D., P <0,05 парные измерения). Это однако, меньше, чем прирост в силе. Нет смысла предполагать корреляцию между изменениями в силе и площади поперечного сечения мышцы. Наибольшее увеличение силы 65% соответствовало приросту площади поперечного сечения на 3,3% в то время как 11% увеличение площади поперечного сечения было связано только с 18% увеличением в силе.

Как следствие этих изменений отношение силы на единицу площади поперечного сечения четырехглавой мышцы достоверно увеличилось: с 7,7±0,7 до 9,8±1,0 Н/см2 (Mean±S.D., P <0,01 t-критерий для независимых выборок). Существенных изменений в этом соотношении для контрольной ноги не было, (от 8,5±1,1 до 8,9±1,1) (Mean±S.D.,P>0,5) за 12 недель тренировки коэффициент вариации для контрольной ноги при измерении этого соотношения был равен 6,5%. В результате тренировки существует небольшое увеличение радиационной плотности четырехглавой мышцы в тренирующейся ноге (табл. 2). В контрольной ноге изменений нет.
Сравнение эксцентрической и концентрической тренировки
Испытуемые не испытывали каких либо трудностей во время упражнений и все могли в полной мере активизировать свою четырехглавую мышцу во время изометрического сокращения. При эксцентрической тренировке используемые веса были в среднем 145% по сравнению с весом для ноги, выполняющей концентрические сокращения. После 12 недель тренировки веса были 261% и 250%, соответственно для ног, выполняющих эксцентрические и концентрические нагрузки. Увеличение тренировочных весов было аналогично тому, которое наблюдалось в предыдущем исследовании динамической силовой тренировки (Rutherford, Jones, 1986). Несмотря на это, значительные улучшения изометрической силы показали более скромные изменения увеличения на 11±3,6% для эксцентрической ноги и 15±8,0% для концентрической подготовки ноги (Mean±S.D). Нет статистически значимых различий между силой в результате двух видов упражнений (P<0,1). Увеличение в силе было значительно меньше (P<0,05), чем в результате изометрических упражнений. Наблюдалось увеличение площади поперечного сечения мышц (4-6%, Таблица 2, рис.3), но без каких-либо существенных различий между двумя формами динамической тренировки динамической и изометрической нагрузки (P>0,1). Как и в случае с изометрической нагрузкой не было оснований предполагать взаимосвязь в изменениях в площади поперечного сечения четырехглавой мышцы бедра и ее силой. Существовало небольшое увеличение плотности в результате двух форм тренировки (табл.2, рис.3), и это также аналогично тому, которое наблюдалось после изометрической нагрузки.
Электрическая активность в ходе различных тренировок
Длительность интегрированной ЭМГ при изометрических сокращениях была в два раза большей, чем при концентрических и эксцентрических. Записи типичной интегрированной ЭМГ и траектории, полученной посредством гониометра приведены на рис. 4. В изометрическом сокращении, активация была высокой и относительно постоянной на протяжении всего сокращения, которая также продолжалась в течение длительного времени. Эти наблюдения показывают, что больший прирост в силе в результате работы в изометрическом режиме, может быть объяснено большей степенью и продолжительностью мышечной активности по сравнению с динамической нагрузкой.

ОБСУЖДЕНИЕ
Изменения силы и площади поперечного сечения мышцы при тренировках
Существенное увеличение силы четырехглавой мышцы отмечено в результате всех форм тренировок. После 12 недель тренировки в изометрическом режиме произошло увеличение силы примерно на 35%, результаты сопоставимы с данными, полученными (например, Lindh, 1979). Увеличение изометрической силы было больше, чем увеличение поперечного сечения мышцы (около 5%), так что сила на единицу площади в результате тренировки увеличилась примерно на 25%. Динамическая тренировка имела аналогичный эффект, хотя прирост в силе был меньше, чем при изометрических упражнениях, но он был больше, чем изменение поперечного сечения мышцы. На измерение максимальной силы и поперечного сечения мышцы посредством компьютерной томографии может влиять целый ряд ошибок. Однако тот факт, что аналогичные изменения были замечены после трех различных форм тренировки и низкий коэффициент вариации при повторных измерениях контрольной конечности позволяют предположить, что наблюдаемый рост в силе на единицу площади существенный. Наши выводы согласуются с данными Ikai, Fukanaga (1970), Young (1983), которые также заметили увеличение силы, которое было больше, чем можно объяснить изменением площади поперечного сечения мышцы. Большинство исследователей объясняют это противоречие тем, тем, что при развитии силы большое значение имеет эффект тренировки, позволяющий улучшить управление активностью ДЕ (Moritani&DeVries, 1979; Hakkinen& Komi, 1985).
При изометрических сокращениях четырехглавой мышцы бедра, однако, эффекты тренировки минимальны. Исследуемый сидит на скамье, конечности и спина надежно зафиксированы ремнем, таким образом, другие группы мышц не вовлечены в проявление силы, и это можно увидеть по результатам контрольной ноги (табл. 2), у которой за 12 недельный период не произошло никаких изменений. Из наших исследований с электростимуляцией четырехглавой мышцы бедра следует, что все исследуемые (за одним исключением, исследуемый W.K.) были в состоянии полностью активизировать свою мышцу как до, так и во время и после эксперимента.
Существуют определенные исследования того, что у человека и животных, мышечные волокна II типа являются более сильными по сравнению с волокнами I типа (Bárány, Close, 1971; Young, 1984), поэтому гипертрофия волокон II типа может привести к значительному увеличению в силе на единицу площади в смешанных мышцах. Гипертрофия волокон II типа была исследована на элитных спортсменах (Tesch, Larsson, 1982; MacDougall, Sale, Elder, Sutton, 1982), но полученные ими результаты при тренировке небольшой длительности противоречат данным (MacDougall, Elder, Sale, Moroz, Sutton, 1980; Young, 1983). Там, где найдена селективная гипертрофия мышечных волокон, расхождения слишком малы, чтобы объяснить различия между изменениями силы мышцы и их размеров (Thorstensson, Hulten, Döbeln, Karlsson, 1976; MacDougall, et al, 1980). Мышечные волокна четырехглавой мышцы не лежат параллельно линии действия силы мышц, они входят в сухожилие под острым углом. Изменение этого угла перистости (pennation) может изменить силу, измеренную между концами мышцы. При одинаковой длине и площади поперечного сечения мышцы, увеличение угла перистости означает, что больше контрактильного материала может быть прикреплено к увеличенной площади сухожилия (Alexander, Vernon, 1975). Поэтому, если в результате тренировки, большие волокна прикрепляются к сухожилию под большим углом, то при некоторой корректировке длины волокна, увеличение силы может быть больше, чем увеличение анатомического поперечника мышцы.
Результаты изучения особенностей подготовки во всех трех режимах, так же как в исследованиях Horber, Scheidegger, Grunig, Frey, (1985), свидетельствуют о том, что имеется небольшой, но постоянный рост радиологической плотности мышц. Это может произойти по ряду причин: снижение содержания жира в мышцах, увеличение в мышцах сократительных элементов или увеличение соединительнотканного компоненты мышцы. Следствием первых двух причин будет увеличение силы, приходящейся на поперечное сечение мышцы. Принято считать, что напряжение передается вдоль мышечных волокон через последовательно расположенные саркомеры так, что сила пропорциональна только площади поперечного сечения и не зависит от длины. Однако, если соединение осуществляется между сухожилием и промежуточными саркомерами, это может привести к увеличению силы на единицу площади поперечного сечения мышцы. У млекопитающих мышечные волокна окружены сетью соединительно-тканных волокон, которые могут играть определенную роль в передаче напряжения сухожилию и способствовать индуцированной гипертрофии. Показано, что при гипертрофии, возникающей вследствие напряженной работы, увеличивается синтез коллагена в мышцах животных (Schiaffino, Bornioli, Aloisi, 1972; Goldberg, et al , 1975). Если прикрепления соединительной ткани сделаны в середине мышечного волокна их эффективная длина и, следовательно, скорость сокращения, снизится. Поскольку выходная мощность определена силой и скоростью сокращения, следствием такого прикрепления будет большее увеличения силы, чем выходной мощности. Предварительные данные о влиянии силовой тренировки на выходную мощность четырехглавой мышцы бедра подтверждает эту гипотезу (Rutherford, Greig, Sargeant, Jones, 1986).
Стимул увеличения силы. Эксцентрический и концентрический режимы тренировки не являются более эффективными, чем другие режимы развития силы. В эксцентрической тренировке вес был приблизительно на 50% больше, при концентрической тренировке, но программа тренировки была та же самая. Метаболическая стоимость эксцентрических сокращений меньше, чем концентрических сокращений для одинаковой работы. Bigland-Ritchie, Woods (1976) оценили метаболическую стоимость концентрической работы, которая почти шесть раз больше, чем для эксцентрической работы и, в то время как другие показатели были на более низких значениях, следовательно разница весьма значительна. Поэтому, если стимулом для увеличения силы были высокие механические нагрузки и метаболических затраты, одна или другая из двух форм тренировки должна оказаться более эффективной. Противоречие этим данным наводит на мысль, что ни один из этих факторов не является единственным стимулом процессов адаптации, протекающих в мышце. Стимулы могут либо быть связаны с различными процессами активации или комбинациями механических напряжений и метаболическими затратами. Третий вариант состоит в том, что пороговый уровень механических напряжений, необходимый для адаптации, был достигнут в обоих исследованиях.
Мы продемонстрировали увеличение силы, которое не является следствием гипертрофии мышц; несмотря на то, что пауэрлифтеры и бодибилдеры достигают выдающихся результатов в увеличении мышечной массы. Эти люди обычно тренируются больше, более интенсивно и дольше чем наши испытуемые. Мы предполагаем, что может быть два ответа на силовую тренировку. Первым является увеличение силы без увеличения размера мышц. Это справедливо относительно первых 6-12 недель тренировки. Вторая стадия является более медленным процессом мышечной гипертрофии. Из-за трудностей в организации экспериментов большинство исследований, включая наше собственное, затрагивает только первый тип адаптации.
ЛИТЕРАТУРА
- Abbott, В.С., Bigland, В., Ritchie, J.M. The physiological cost of negative work. Journal of Physiology, 1952 – P. 117, 380-390.
- Alexander, R. McN., Vernon, A. The dimensions of the knee and ankle muscles and the forces they exert. Journal of Human Movement Studies, 1975 –P.1, 115-123.
- Barany, M., Close, R.I. The transformation of myosin in cross-innervated rat muscles. Journal of Physiology, 1971 –P. 213, 455-474.
- Bigland — Ritchie, B., Woods, J.J. Integrated electromyogram and oxygen uptake during positive and negative work. Journal of Physiology, 1976 –P. 260, 267-277.
- Bulcke, J.A., Termote, J.L., Palmers, Y., Crolla, D. Computed tomography of the human skeletal muscular system. Neuroradiology, 1979 –P. 17, 127-136.
- Chapman, S. J., Edwards, R. H. Т., Grindrod, S.R., Jones, D.A. Cross-sectional area and force production of the quadriceps. Journal of Physiology, 1984 –P.353, 53.
- Curtin, N. & Davies, R. E. Chemical and mechanical changes during stretching of activated frog skeletal muscle. Cold Spring Harbor Symposium on Quantitative Biology, 1973 –P. 37, 619-626.
- Edwards, R.H.Т., Young, A., Hosking, G.P., Jones, D.A. Human skeletal muscle function: description of tests and normal values. Clinical Science and Molecular Medicine, 1977 –P. 52, 283-290.
- Goldberg, A.L., Etlinger, J.D., Goldspink, D.F. , Jablecki, C. Mechanism of work induced hypertrophy of skeletal muscle. Medicine and Science in Sports and Exercise, 1975 -P. 7(4), 248-261.
- Grindrod, S., Tofts, P., Edwards, R.H.T. Investigation of human skeletal muscle structure and composition by X-ray computerised tomography. European Journal of Clinical Investigation, 1983 –P. 13, 465-468.
- Hakkinen, К., Komi, P.V. Changes in electrical and mechanical behaviour of leg extensor muscles during heavy resistance strength training. Scandinavian Journal of Sports Science, 1985 –P. 7(2), 55-64.
- Horber, F.F., Scheidegger, J.Т., Grunig, В.E. , Frey, F.J. Thigh muscle mass and function in patients treated with glucocorticoids. European Journal of Clinical Investigation, 1985 –P.15(6), 302-307.
- Ikai, M., Fukanaga, T. A study on training effect on strength per unit cross-sectional area of muscle by means of ultrasonic measurement. Internationaie Zeitschrift fur angwandte Physiologie Einschleisslich Arbeitsphysiologie, 1970 –P. 28, 173-180.
- Johnson, B.L. Eccentric versus concentric muscle training for strength development. Medicine and Science in Sports and Exercise, 1972 –P. 4, 111-115.
- Katz, B. The relation between force and speed in muscular contraction. Journal of Physiology, 1939 –P. 96, 45-64.
- Komi, P.V. , Buskirk, E.R. Effect of eccentric and concentric muscle conditioning on tension and electrical activity of human muscle. Ergonomics, 1972 –P. 15(4), 417-434.
- p style=»text-align: /pjustify;» Lindh, M. Increase of muscle strength from isometric quadriceps exercise at different knee angles. Scandinavian Journal of Rehabilitation Medicine, 1979, -P. 11(1), 33-36.
- Logan, G.A. Comparative gains in strength resulting from eccentric and concentric muscular contractions. M.Sc. Thesis, University of Illinois, 1952
- MacDougall, J.D., Elder, G.С.В., Sale D.G., Moroz, J.R. , Sutton, J.R. The effects of strength training and immobilization on human muscle fibres. European Journal of Applied Physiology, 1980 –P. 43, 25-34.
- MacDougall, J.D., Sale, D.G., Elder, G.С.B., Sutton, J.R.. Muscle ultrastructural characteristics of elite powerlifters and body-builders. European Journal of Applied Physiology, 1982 –P. 48, 117-126.
- McCullough, P., Maughan, R.J., Watson, J.S., Weir, J. Biomechanical analysis of the knee in relation to measured quadriceps strength and cross-sectional area in man. Journal of Physiology, 1984 –P. 346, 60.
- McDonagh, M.J.N., Davies, С.Т.M. Adaptive response of mammalian skeletal muscle to exercise with high loads. European Journal of Applied Physiology, 1984 –P. 52, 139-155.
- Moritani, Т., De Vries, H.A. Reexamination of the relationship between surface IEMG and force of isometric contractions. American Journal of Clinical Medicine, 1978 –P. 57, 263-277.
- Rasch, P.J. (1974). The present status of negative exercise — a review. American Corrective Therapy Journal, 1974 -P. 28 (3), 77-94.
- Rutherford, О.M., Jones, D.A. The role of learning and coordination in strength training. European Journal of Applied Physiology, 1986 –P. 55, 100-105.
- Rutherford, О.M., Greig, C.A., Sargeant, A.J., Jones, D.A. Strength training and power output — transference effects in the human quadriceps muscle. Journal of Sports Science, 1986 -P. 4, 101-107.
- Rutherford, О.M., Jones, D.A., Newham, D.J. Clinical and experimental application of the twitch superimposition technique for the study of human muscle activation. Journal of Neurology, Neurosurgery and Psychiatry, 1986 –P. 49, 1288-1291.
- Schiaffino, S., Bornioli, S.P. , Aloisi, N. Cell proliferation in rat skeletal muscle during early stages of compensatory hypertrophy. Virchows Archiv, 1972 –P. 11, 268-273.
- Seliger, V., Dolejas, L., Karas, V., Pachlopnikova, I. Adaptation of trained athletes energy expenditure to repeated concentric and eccentric muscle contraction. Internationale Zeitschrift fur angwandte Physiologie Einschleisslich Arbeitsphysiologie, 1968 –P. 26, 227-234.
- Tesch, P.A., Larsson, L. Muscle hypertrophy in bodybuilders. European Journal of Applied Physiology, 1982 –P. 49, 301-306.
- Thorstensson, A., Hultun, В., von Dobbln, W., Karlsson, J. Effect of strength training on enzyme activities and fibre characteristics in human skeletal muscle. Acta physiologica scandinavica, 1976 –P. 96, 392-398.
- Young, A. The relative isometric strength of Type 1 and Type 2 muscle fibres in the human quadriceps. Clinical Physiology, 1984, -P. 4, 23-32.
- Young, A., Stokes, M., Round, J. M., Edwards, R. H. T. The effect of high resistance training on the strength and cross-sectional area of the human quadriceps. European Journal of Applied Physiology, 1983, -P. 13, 411-417.
Перевод Е.А.Косминой с коррекцией А.В.Самсоновой