Методика коррекции техники жима штанги лежа с целью преодоления «мертвых зон» в жиме штанги лежа», включает комплекс силовых упражнений, позволяющий скорректировать технику атлета, а также развивать его силовые…
Методика коррекции техники жима штанги лежа с целью преодоления «мертвых зон» в жиме штанги лежа», включает комплекс силовых упражнений, позволяющий скорректировать технику атлета, а также развивать его силовые…
Изучалась работа широчайшей мышцы спины при жиме штанги лежа посредством элекромиографии (ЭМГ). Выделено 4 варианта активности широчайшей мышцы спины. Показано, что активность широчайшей мышцы спины крайне полезна при…
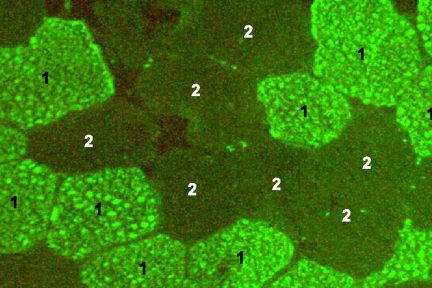
Статистический анализ композиции мышечных волокон латеральной широкой мышцы бедра человека проводился на основе обработки данных, опубликованных в 25 научных статьях. Статистические данные свидетельствуют о том, что содержание МВ…
Рассмотрены механизмы преодоления «мертвых зон» в жиме штанги лежа с точки зрения биомеханики. Показано, что неблагоприятными условиями, снижающими скорость штанги в первой “мертвой зоне”, являются: небольшие значения плеч…
Предложен новый критерий «мертвой зоны» в жиме штанги лежа. Доказано, что в жиме штанги возможно наличие двух и более «мертвых зон». Критерием начала мертвой зоны является снижение скорости…
Гипертрофия и гиперплазия мышечных волокон — темы данного обзора. Рассмотрены вопросы гипертрофии и гиперплазии мышечных волокон в ответ на силовые тренировки. Доказана гиперплазия мышечных волокон в ответ на…
Композиция мышечных волокон 14 мышц плеча изучалась на 4 трупах мужчин через 24 часа после смерти посредством биопсии. Установлено, что в среднем в мышцах от 22 до 40% …
Комплексный анализ жима штанги лежа посвящен изучению работы большой грудной, передней дельтовидной, длинной головки трехглавой плеча и широчайшей мышц при выполнении жима штанги лежа с различными отягощениями. С…
В статье А.Д. Минигалина с соавт. Влияние предельной силовой нагрузки на максимальную изометрическую силу, электромиографические характеристики, мышечные боли и биохимические маркеры повреждения скелетных мышц изучалось влияние предельной силовой…
Влияние силовой тренировки на клетки-сателлиты изучал Ф. Кади с соавт. «Эффект силовой тренировки и прекращения тренировки на клетки-сателлиты в скелетных мышцах человека» Показано, что умеренные изменения в размере…
Адаптация различных типов мышечных волокон к нагрузкам представлена в статье Старон Р.С. с соавт. При помощи биопсии определяли композицию мышечных волокон широкой латеральной мышцы бедра трех групп людей:…
В статье описываются физиологические изменения в скелетной мышце, связанные с тренировкой скоростно-силовых качеств. Выходная мощность мышцы определяется скоростью сокращения и силой мышц. Для увеличения мощности, необходимо увеличить либо…